10 неожиданных рентгеновских снимков, которые точно вас удивят
Казалось бы, ну что может быть интересного в рентгеновских снимках! Тем не менее пользователи Сети делятся такими шедеврами, что вы тоже захотите их увидеть. Давайте приступать.
"Пришла на консультацию по поводу моих зубов мудрости. Мне разрешили не снимать пирсинг", — dist0rtе.

Фото © Reddit / dist0rte
"Беременная собака", — RyanReynoldsWrap.

Фото © Reddit / RyanReynoldsWrap
"Рентгеновский снимок акулы-молота", — Fishguy_FHL.

Фото © Х / Fishguy_FHL
"У меня редкое заболевание под названием клейдокраниальный дизостоз. Сегодня мне сделали первый рентген зубов, и у меня... много лишних", — NicolasNSane.

Фото © Reddit / NicolasNSane
"Рентгенограмма стоп моего сына", — jsams18.

Фото © Reddit / jsams18
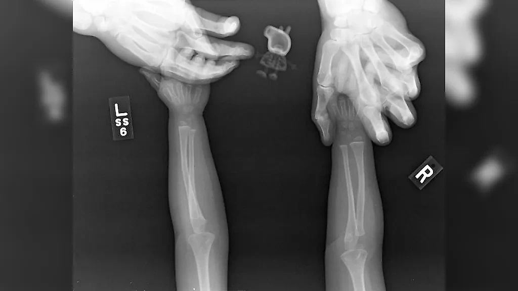
"Дочь взяла свою игрушку Свинку Пеппу на рентген", — cynicalslacker.

Фото © Reddit / cynicalslacker
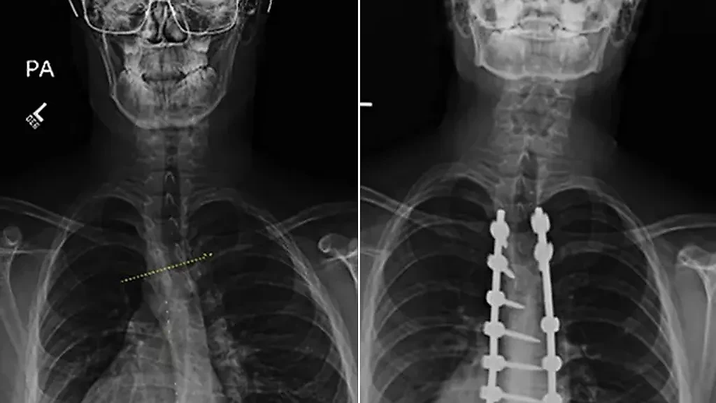
"Лечение ревматоидного артрита. До и после", — joshuas3.
"Рентгеновский снимок морского конька", — kitsua.

Фото © Reddit / kitsua
"Девочка волновалась, что рентгеновский аппарат может сделать больно, поэтому я быстро сделал снимок её игрушечной лисы, чтобы показать, что всё будет в порядке", — nfreni.

Фото © Reddit / nfreni
"Мне разрешили не снимать очки во время рентгена. Выглядит круто!" — Shahzoodo.

Фото © Reddit / Shahzoodoo
- Три варианта декора новогодней ёлки, что все гости потеряют дар речи
19 декабря 2023, 16:00
- Что подарить дедушке на Новый год: подборка классных идей для тех, кому "ничего не надо"
19 декабря 2023, 15:30
- Потерянный брат-близнец Киркорова покоряет американский TikTok с песней "Нирваны"
19 декабря 2023, 14:30
Reddit / jsams18, Shahzoodoo


